您当前的位置:秀洲首页 > 生活健康
胸闷一年,问题竟然不心脏!这个“沉默的杀手”更需警惕
2026-01-27 17:12 来源: 撰文 看秀洲

“医生,我这胸口像压了块石头,走路就闷得慌,都一年了,是不是心脏出问题了?”

69岁的徐阿姨坐在秀洲区人民医院心内科门诊,眉头紧锁地向医生诉说困扰。一年来,活动时出现的胸闷感如影随形,虽不剧烈,却总伴随着肩背部的隐隐作痛,让她不得不放慢生活节奏。

一次关键检查,让真凶浮出水面

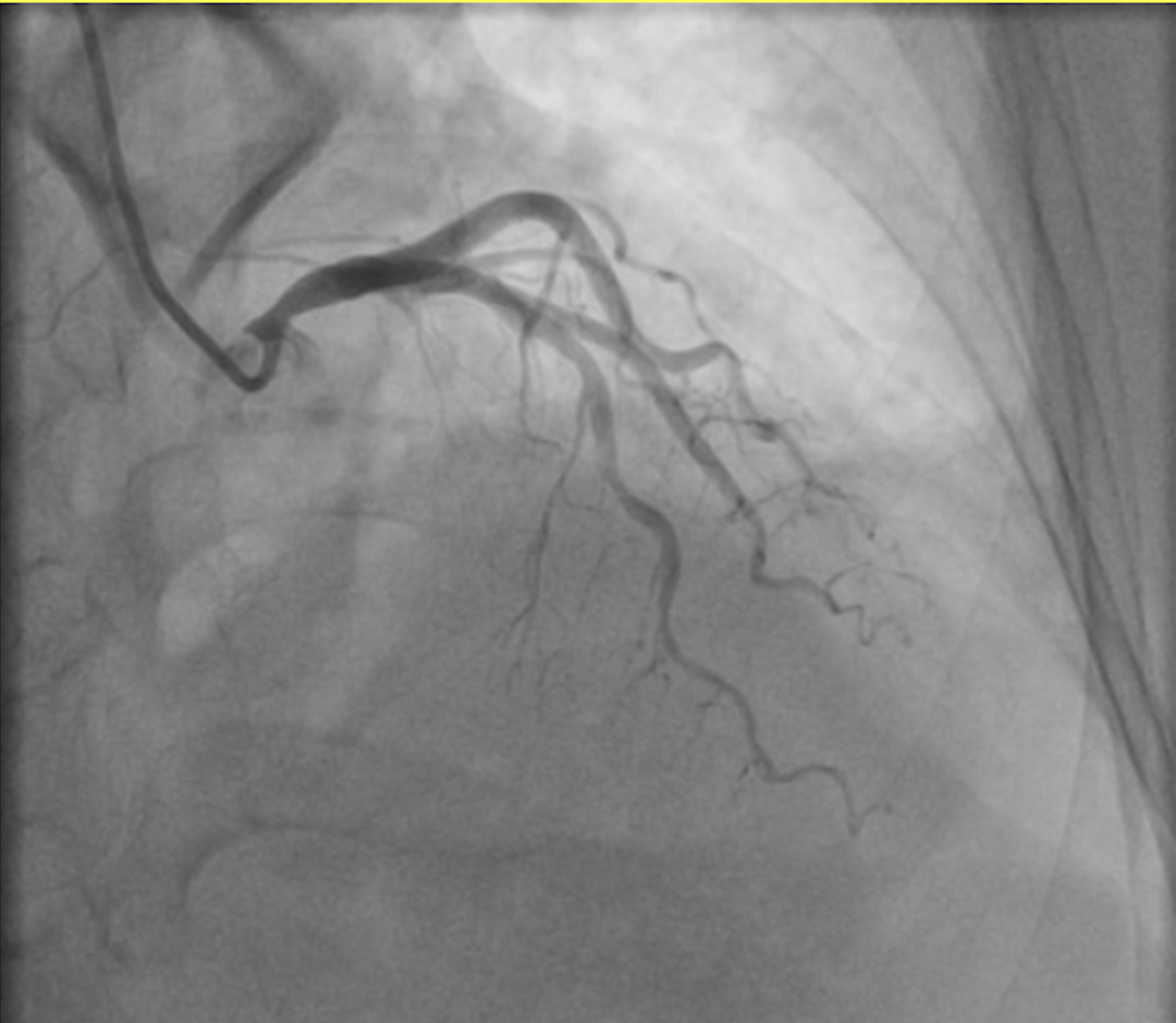
秀洲区人民医院C5病区副主任、心血管内科主任沈奇峰详细询问病史并仔细查体后,安排徐阿姨做了相关检查。冠脉造影显示心脏前降支有约50%狭窄——这个程度通常不会引起持续胸闷症状。这让经验丰富的沈奇峰主任警惕起来:胸闷的元凶,可能不在心脏本身。

果然,进一步的检查发现了关键线索:D-二聚体高达7.05mg/L(正常值0-1),血气分析氧分压也降至69.2mmHg。“这两个指标异常组合,强烈提示可能有血管堵塞问题,特别是在肺部。”沈奇峰主任表示。

随后的肺动脉CTA检查揭示了真相——左右肺动脉均发现栓塞。原来,困扰徐阿姨一年的胸闷,竟是肺栓塞这个“隐形杀手”在作祟。

“河道淤塞”危及生命,精准施治打通“要道”

“如果把我们的血管系统比作河流网络,肺动脉就是血液从心脏流向肺部进行氧气交换的‘主干道’。”沈奇峰用形象的比喻解释道,肺栓塞就像这条主干道被上游冲下来的“泥沙”(血栓)堵塞了,血液无法顺畅通过,导致全身缺氧,出现呼吸困难、胸痛、咯血、咳嗽等症状,但像徐阿姨这样仅表现为活动性胸闷伴肩背部放射痛的情况也不少见。

明确诊断后,心内科医疗团队立即为徐阿姨制定了规范抗凝治疗方案。这种治疗相当于派出了“血管清道夫”,防止新的血栓形成,同时让身体自身的修复系统慢慢溶解已有的血栓。


经过一段时间规范治疗,徐阿姨的胸闷症状明显改善,胸口的“大石头”搬走了,呼吸也顺畅了许多。她既后怕又庆幸:“真没想到,原来是肺里的血管堵了。要是血栓再大点,堵得再厉害点,后果真是不敢想!”

“很多患者出现胸闷,第一反应就是心脏不好,但实际上,胸闷的原因非常复杂。”沈奇峰主任表示,“我们不仅要关注心脏本身,还要有全身血管的系统观念,进行全面评估和精准诊断,这样才能避免漏诊、误诊。”

对于徐阿姨这样的急性肺栓塞患者,治疗上通常会选择低分子肝素或新型口服抗凝药,规范治疗至少3个月,高危患者或复发患者可能需要更长时间甚至终身抗凝。

沈奇峰主任提醒:

1.对于高危人群,提高警惕至关重要。长时间卧床者、手术后患者、肿瘤患者、孕妇、口服避孕药者以及有血栓家族史的人群,都是肺栓塞的高危人群。

2.长时间乘坐交通工具(经济舱综合征)、肥胖、吸烟等也是危险因素。

3.如果出现不明原因的活动后气短、单侧腿部肿胀疼痛、咳血或晕厥等情况,应及时就医排查。


来源:秀洲区人民医院

编辑:邱妍(实习生)

标签: 责任编辑: 看秀洲

秀洲新闻网

看秀洲微信

分享到:

秀洲区新闻网络信息中心 - copyright © 2009版权所有

举报电话:0573-82721592

举报邮箱:xzwxb@xiuzhou.gov.cn

关于我们 | 广告服务 | 联系方式 | 法律声明

浙江在线新闻网站平台支持  浙ICP备09103386号  浙新办[2009]24号